Trisomie 21 : d’une différence génétique à un combat pour
Quand “Danse avec les Stars” ouvre le débat
Sur le parquet de “Danse avec les Stars” en 2025, une jeune artiste a su capter l’attention bien au-delà de la compétition. À seulement 20 ans, Mayane-Sarah El Baze, révélée au grand public par le succès du film “Un p’tit truc en plus”, comédie réalisée par Artus sortie en 2024, n’est pas venue seulement danser : elle est venue raconter une histoire. Passionnée très tôt par le spectacle vivant, le théâtre et la danse hip-hop, elle s’est progressivement imposée comme une artiste complète.
Sa carrière s’est construite pas à pas à la télévision et au cinéma. Après plusieurs apparitions remarquées, elle joue notamment dans la série “Thicker Than Water”, créée par Nawell Madani en 2023, puis dans l’épisode 7 de la série à succès “HPI” en 2024. Actrice, elle multiplie aussi les expériences dans des émissions populaires, de “Fort Boyard” à “Star Academy”, en passant par “Joséphine, ange gardien”.
Mannequin et influenceuse, très suivie sur les réseaux sociaux, notamment sur TikTok, elle partage son quotidien et défend une vision positive du handicap. Avec sa mère, elle a également coécrit le livre “Moi, Mayane”, dans lequel elle raconte son parcours et son envie de vivre pleinement ses rêves.
Semaine après semaine, son énergie, sa sensibilité et son sens du rythme ont convaincu le public. Aux côtés du danseur Christophe Licata, elle a relevé des chorégraphies exigeantes, prouvant que le talent ne se mesure ni à une différence génétique ni à un parcours classique. Son parcours jusqu’en demi-finale a marqué les téléspectateurs et ouvert une réflexion plus large : pourquoi la présence d’une personne porteuse de trisomie 21 sur une grande scène nationale reste-t-elle encore exceptionnelle ?
Mais qu’est-ce que la trisomie 21 ?
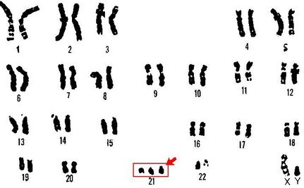
On l’a tous appris à l’école lors des cours de SVT, mais vous souvenez-vous vraiment de ces histoires de chromosomes ? La trisomie 21, c’est simple : au lieu d’avoir deux exemplaires du chromosome 21, certaines personnes en ont trois.
Cette petite différence, présente dès la naissance, influence le développement physique et intellectuel, avec un rythme d’apprentissage souvent plus lent, mais elle ne définit jamais la personne dans son ensemble.
Certaines personnes présentent également des problèmes de santé associés, notamment cardiaques, qui nécessitent un suivi médical régulier.
Il existe trois formes principales de trisomie 21 :
-
Trisomie 21 libre, complète et homogène : la plus fréquente, où toutes les cellules présentent le chromosome supplémentaire.
-
Trisomie 21 par translocation : le troisième chromosome est attaché à un autre chromosome.
-
Trisomie 21 en mosaïque : certaines cellules ont trois chromosomes 21, d’autres seulement deux, ce qui peut atténuer ou modifier l’expression des caractéristiques.
Selon la proportion de cellules concernées, les manifestations peuvent être plus ou moins visibles. Mais réduire la trisomie 21 à ses difficultés serait une erreur : beaucoup développent de fortes compétences sociales, une grande sensibilité et une capacité d’adaptation remarquable.
Dans la vie quotidienne, les parcours sont variés : école inclusive, activités artistiques, emploi accompagné ou vie semi-autonome. L’image d’une dépendance totale appartient de plus en plus au passé, et chaque personne trisomique possède ses forces, ses talents et son rythme propres.
Une histoire qui remonte loin
La trisomie 21 n’est pas une réalité moderne. Des analyses ostéo-archéologiques et l’étude des arts visuels montrent que cette condition existait déjà dans la préhistoire et l’Antiquité. Un exemple frappant est celui d’un enfant de Néandertal, atteint de trisomie 21, qui a reçu soin et attention malgré son handicap, témoignant d’une capacité d’empathie ancienne chez l’homme.
Au fil des siècles, l’ignorance scientifique a souvent conduit à la peur et à l’exclusion. Au Moyen-Âge, les personnes différentes étaient marginalisées, parfois stigmatisées.
Le XXe siècle marque un tournant dramatique : sous le régime nazi, des programmes eugénistes ont conduit à la persécution et à l’élimination de milliers de personnes handicapées ou atteintes de maladies mentales, considérées comme « indignes de vivre ». Ces crimes rappellent l’importance de protéger la dignité humaine et de combattre toute forme de discrimination.
Les avancées scientifiques : Jérôme Lejeune
C’est grâce aux progrès de la génétique, notamment avec le travail du professeur Jérôme Lejeune, que la trisomie 21 est aujourd’hui comprise comme une anomalie chromosomique précise.
En 1959, ce généticien français identifie, dans le service du Pr Turpin, aux côtés de Marthe Gautier, l’origine chromosomique de la trisomie 21, montrant que chaque cellule contient un chromosome 21 supplémentaire.
Cette découverte révolutionne la médecine génétique : elle permet un suivi médical adapté et un meilleur accompagnement. La science moderne a ainsi ouvert la voie à l’inclusion et à la reconnaissance des personnes porteuses de trisomie 21.
Où en est-on aujourd’hui ?
Depuis plusieurs décennies, les progrès sont considérables. L’espérance de vie a fortement augmenté grâce aux avancées médicales, et la recherche actuelle explore des moyens d’améliorer les capacités cognitives et de prévenir les maladies associées.
Parallèlement, la sensibilisation progresse. Les écoles accueillent davantage d’élèves en situation de handicap, les médias offrent une représentation plus positive, et certaines entreprises s’engagent dans l’insertion professionnelle. Pour beaucoup de spécialistes, le défi n’est plus seulement médical : il est social.
Soutenir et inclure : le rôle des associations
En France, plusieurs associations accompagnent les familles et favorisent concrètement l’inclusion des personnes porteuses de trisomie 21, aussi appelée syndrome de Down. Cette anomalie génétique, liée à la présence d’un chromosome 21 supplémentaire, concerne aujourd’hui environ 50 000 personnes en France, près de 400 000 en Europe et plusieurs millions dans le monde.
Parmi les structures engagées, Tombée du Nid est une association qui soutient les parents d’enfants porteurs de handicap ou de particularités, de 0 à 20 ans. Grâce à l’application « Le Cœur du Nid », les familles peuvent trouver près de chez elles des bénévoles prêts à donner un coup de main dans le quotidien, échanger avec d’autres parents et accéder à des ressources utiles. L’objectif est simple : rompre l’isolement des familles et leur permettre d’avancer entourées.
De son côté, la “Fondation Jérôme Lejeune” intervient à 3 niveaux :
- Depuis 30 ans, elle soutient financièrement des projets de recherche qui ont permis des progrès considérables pour les personnes porteuses de trisomie 21 et d’autres déficiences intellectuelles d’origine génétique.
- La Fondation Jérôme Lejeune a créé et continue de financer l’Institut Jérôme Lejeune, le 1er centre de consultation au monde pour les personnes porteuses de trisomie 21.
- Enfin, depuis sa création la Fondation Jérôme Lejeune agit pour protéger la vie et la dignité des personnes porteuses de trisomie 21 ou d’autres déficiences intellectuelles d’origine génétique.
Certaines initiatives misent aussi sur des approches originales pour accompagner les enfants. L’association “HANDI’CHIENS” remet par exemple des chiens d’éveil aux enfants porteurs de trisomie 21. Ces compagnons spécialement formés stimulent l’apprentissage, apaisent les angoisses et facilitent la socialisation. Leur présence change souvent le regard des autres : le chien devient un médiateur, créant plus facilement le contact et favorisant l’inclusion au quotidien, à l’école comme dans l’espace public.
Chiffres clés sur la trisomie 21 :
- 1 naissance sur 700 dans le monde est touchée par la trisomie 21.
- En France, cela représente environ 750 enfants par an.
- Près de 95 % des cas concernent la trisomie 21 libre, complète et homogène.
- La trisomie mosaïque représente environ 2 % des cas, et la trisomie par translocation représente environ 3 %.
- 40 % des personnes trisomiques présentent une malformation cardiaque congénitale.
- Grâce aux progrès médicaux, l’espérance de vie est passée de 9 ans en 1900 à plus de 50 ans aujourd’hui, et denombreux adultes vivent de manière autonome ou semi-autonome.
L’insertion professionnelle est également un levier important : Café Joyeux, par exemple, emploie des personnes porteusesde trisomie 21 ou d’autres handicaps cognitifs dans ses cafés et restaurants, offrant formation, expérience et confiance en soi. Ces initiatives montrent que l’inclusion passe autant par l’accompagnement et l’éducation que par la considération de la personne avant le handicap. Même des petits gestes, comme informer ou inclure, contribuent à faire tomber les barrières et à construire une société plus ouverte.
Soutenir et inclure : le rôle des associations
Chaque 21 mars, la Journée Mondiale de la Trisomie 21 met en lumière les personnes porteuses de cette anomalie chromosomique et sensibilise le public. La date rappelle le 21ᵉ chromosome supplémentaire et est l’occasion d’organiser conférences, activités culturelles et sportives, ou campagnes de sensibilisation.
Un symbole fort de cette journée est le port de chaussettes dépareillées, représentant la diversité et l’unicité de chacun. Dans les écoles, les entreprises ou lors d’événements publics, ce geste simple attire l’attention et ouvre le dialogue, rappelant que l’inclusion commence par le respect des différences.
Chaque 21 mars, la Journée Mondiale de la Trisomie 21 met en lumière les personnes porteuses de cette anomalie chromosomique et sensibilise le public.
La date rappelle le 21ᵉ chromosome supplémentaire et est l’occasion d’organiser conférences, activités culturelles et sportives, ou campagnes de sensibilisation.
Un symbole fort de cette journée est le port de chaussettes dépareillées, représentant la diversité et l’unicité de chacun.
Dans les écoles, les entreprises ou lors d’événements publics, ce geste simple attire l’attention et ouvre le dialogue, rappelant que l’inclusion commence par le respect des différences.
Le saviez-vous ? Anne de Gaulle
Le regard sur la trisomie 21 n’a pas toujours été bienveillant, mais certaines figures historiques montrent le potentiel des personnes trisomiques. Anne de Gaulle, fille du général Charles de Gaulle, née en 1928 avec une trisomie 21, en est un exemple.
Grâce à un environnement aimant et encourageant, elle a pu développer ses capacités et mener une vie épanouie. Son histoire rappelle que l’accompagnement et la considération pour la personne avant le handicap peuvent transformer le quotidien et inspirer encore aujourd’hui familles et associations dans leur combat pour l’inclusion.





